Sollte der Verdacht auf höhergradige Durchblutungsstörungen des Herzens bestehen, kann eine Herzkatheter-Untersuchung erforderlich werden (Koronarangiographie). Diese führen wir ambulant im Marienkrankenhaus Soest durch. Der bevorzugte Zugang ist dabei die rechte Unterarmarterie (radialis). Dieser Zugang hat sich als komfortabel und sicher erwiesen. Insbesondere bei Frauen ist dieser Zugang jedoch nicht immer möglich, da das Gefäß deutlich kleiner ist als die Leisten-Arterie. In diesem Fall erfolgt die Untersuchung über die rechte Leiste.
Wird eine Ballon-Aufdehnung oder Stent-Implantation erforderlich  (PTCA),  wird diese in der
Regel direkt durchgeführt.
Die Auswahl der geeigneten Methode wird dabei individuell nach Leitlinien der
Fachgesellschaften getroffen (Beschichteter Stent (DES), beschichteter Ballon  (DEB) etc.).
Bei Bedarf wird zuvor eine Druckdrahtmessung (iFR, FFR) oder auch ein Ultraschall im Gefäß
(IVUS) durchgeführt.
Im Falle eines solchen Eingriffes wird eine stationäre Nachbeobachtung für ein bis zwei Tage
erforderlich.
Druckdrahtmessung bei fraglich  relevanter Stenose (FFR / iFR Messung,hier wird  gemessen,  ob die erkennbare Engstelle die  Durchblutung behindert)
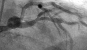
2 x Stent in RCA (Hinterwandarterie); Verschluss eines kleinen Seitenastes (idR ohne klinische Folgen)
Implantation eines Stents in den RIVA (Vorderwand)
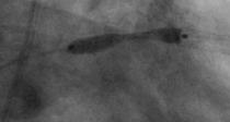
DEB Drug Eluting Balloon
Stent Implantation DES , Drug Eluting Stent , Kobalt Chrom / Platin
Sollte eine Bypass-OP oder eine Herzklappen-OP erforderlich werden, kooperieren wir z.B. mit dem Johanneshospital  Dortmund  oder dem Herzzentrum NRW in Bad Oeynhausen. Einen guten Fernseh-Beitrag  über eine Bypass OP finden Sie hier. Ein 360° Grad Film vom NDR über eine OP  finden Sie hier
Herzkatheter / Koronarangiographie
Patienteninformationsblatt Linksherzkatheter als PDF zum Download
Herzkatheter Labor MKH , 2023
Herzkatheter Labor MKH , 2012
Herzkatheter
Sollte der Verdacht auf höhergradige Durchblutungsstörungen des Herzens bestehen, kann eine Herzkatheter-Untersuchung erforderlich werden (Koronarangiographie). Diese führen wir ambulant im Marienkrankenhaus Soest durch. Der bevorzugte Zugang ist dabei die rechte Unterarmarterie (radialis). Dieser Zugang hat sich als komfortabel und sicher erwiesen. Insbesondere bei Frauen ist dieser Zugang jedoch nicht immer möglich, da das Gefäß deutlich kleiner ist als die Leisten- Arterie. In diesem Fall erfolgt die Untersuchung über die rechte Leiste.
Patienteninformationsblatt Linksherzkatheter als PDF zum Download
Wird eine Ballon-Aufdehnung oder Stent-Implantation erforderlich  (PTCA),  wird diese in der Regel direkt durchgeführt. Die Auswahl der geeigneten Methode wird dabei individuell nach Leitlinien der Fachgesellschaften getroffen (Beschichteter Stent (DES), beschichteter Ballon  (DEB) etc.). Bei Bedarf wird zuvor eine Druckdrahtmessung (FFR) oder ein Ultraschall im Gefäß (IVUS) durchgeführt. Im Falle eines solchen Eingriffes wird eine stationäre Nachbeobachtung für ein bis zwei Tage erforderlich.
DEB Drug Eluting Balloon
Stent Implantation DES , Drug Eluting Stent
Druckdrahtmessung bei fraglich  relevanter Stenose (FFR / iFR Messung,hier wird  gemessen,  ob die erkennbare Engstelle die  Durchblutung behindert)
2 x Stent in RCA (Hinterwandarterie)
Implantation eines Stents in den RIVA (Vorderwand)
Sollte eine Bypass-OP oder eine Herzklappen-OP erforderlich werden, kooperieren wir z.B. mit dem Johanneshospital  Dortmund  oder dem Herzzentrum NRW in Bad Oeynhausen. Einen Fernseh-Beitrag  über eine Bypass OP finden Sie hier. Ein 360° Grad Film vom NDR über eine OP  finden Sie hier